At Brockley Dental Center, we understand what it means to have a missing tooth. Gaps in your smile can be disheartening for both cosmetic and health reasons. People often find missing teeth embarrassing, leading them to hide their smiles. Unfortunately, this lack of smiling can lead to health deficiencies, as studies show smiling is important for releasing endorphins like serotonin, which helps relax the body and reduce pain. Additionally, missing teeth can cause bone resorption in your jawbone. Normally, when you chew, your tooth roots stimulate the gums and jawbone, helping to maintain its shape by preventing deterioration. Without this stimulation, bone resorption can occur, causing sunken cheeks, sagging skin, and gradual changes to your face shape. The best way to prevent these symptoms of missing teeth? Replace them! If you need dental implants in Butler, PA, our experienced team at Brockley Dental Center is eager to help!
Understanding Dental Implants
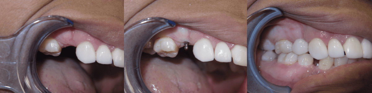
Dental implants are a dependable method for replacing teeth and restoring your smile. They’re a versatile tool in a dentist’s toolbox, as we can use them to support crowns, bridges, or dentures.
When we talk about dental implants, we generally distinguish between two common types: traditional implants and mini implants.
Traditional implants are about 5 millimeters in diameter. After they are surgically inserted in the jawbone, they require a few months of healing before your new tooth can be attached. While traditional implants can effectively replace missing teeth, they have some problems. First, they’re invasive and require an ample jawbone for secure placement. These requirements make many people ineligible, including those who are unable to undergo oral surgery and individuals who have experienced bone loss in their jaws. Additionally, conventional implants consist of multiple parts, increasing costs and creating micro-spaces where bacteria can accumulate and wreak havoc on your gums.
Mini dental implants, however, provide a much more streamlined, less invasive, and less expensive solution.
Brockley Dental Center is the sole Mini Dental Implant Center of America in Butler, PA. We are part of a nationwide network of qualified dentists who specialize in mini implants. Our doctors are committed to providing cutting-edge and patient-centered dental care, which is why we offer mini implants for our patients.
Mini dental implants are small, one-piece titanium posts that are less than 3 millimeters wide. Their small size and sleek design allow us to use a much less invasive technique to place them. As a result, you can expect much less pain and a shorter healing period. Another plus? Mini implants are also significantly less expensive!

The Mini Implant Difference
Mini implants can revamp your smile in just a few steps. First, during your consultation, we will design a treatment plan that considers your unique needs. Then, on the day of your procedure, you can expect a two-step process before you walk out with your brand-new smile. Before we place the implant, we’ll ensure you are comfortable. We use local anesthetic to numb the treatment area, but we also offer sedation options for those who may need help relaxing.
We will begin by drilling a small pilot hole through the gum into the jawbone. Then, we’ll thread the mini implant into the bone through this hole. With traditional dental implants, we would need to wait for the bone to fuse with the implant and for the gums to heal before placing the restoration. However, with mini implants, we can attach the restoration immediately after we place the implants!
Because we use a much less invasive technique to place mini implants, eliminating the need for incisions or stitches, you can expect much faster healing times. In fact, many of our patients are able to return to their normal routines in just a day or two.
If you want to experience the incredible benefits of mini dental implants in Butler, PA, trust the experts at Brockley Dental Center!
The Cost of Dental Implants in Butler, PA
We understand that dental insurance can sometimes be difficult to understand, so if you call us with your questions, we will be more than happy to help you make sense of your insurance plan. We will submit your dental insurance claims after you have had a procedure in our office. Depending on your policy’s details, your insurance will reimburse you or the dentist at a specific rate.
At Brockley Dental Center, we also offer financing through CareCredit, a healthcare-focused lending company. Care Credit provides both short-term and long-term financing options, including plans with 0% interest for 6, 12, 18, or even 24 months! If cost has been holding you back from transforming your smile, ask us about CareCredit to help finance your dental treatment.
Call Us Today to Learn More About Dental Implants in Butler, PA!
If you’re considering dental implants but are concerned about cost, the invasive procedure, or the long healing time, mini implants could be the perfect solution for you. At Brockley Dental Center, a Mini Dental Implant Center of America, we are committed to delivering exceptional dental care with innovative solutions. Mini implants represent that commitment. These implants offer a faster, less invasive, and more affordable way to transform your smile. Schedule a free implant consultation today to explore our mini dental implant solutions!